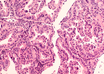
With ovarian cancer deaths set to spike by 67%, AI to rescue: Study
IANS | Feb 16, 2019
Low cure rate for childhood cancer in India: Experts
IANS | Feb 16, 2019
Swine flu cases increase to 189 in HP, death toll went up to 22
UNI | Feb 16, 2019
More protein, less calories key to safe weight loss in elderly: Study
IANS | Feb 16, 2019
AP CM lays foundation stone construction of cancer hospital
UNI | Feb 16, 2019
New bile acid blood test to predict risk of stillbirth: The Lancet
IANS | Feb 16, 2019
Apollo Hospital offers to treat free injured CRPF troopers
IANS | Feb 16, 2019
Bharat Biotech to acquire rabies vaccine maker Chiron Behring
IANS | Feb 16, 2019
Most read this week