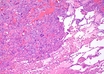
HER2-targeted CAR T-cell therapy safe, with promising antitumor activity in patients with advanced sarcoma
AACR Annual Meeting 2019 Newsroom | Apr 05, 2019
Wearable biosensors help wound healing process by imitating skin
ANI | Apr 05, 2019
Adding the MET inhibitor savolitinib to osimertinib was beneficial for certain pretreated lung cancer patients in TATTON trial
AACR Annual Meeting 2019 Newsroom | Apr 05, 2019
Microsoft to facilitate healthcare for railway staff
IANS | Apr 05, 2019
Doctor can abort over 20-week pregnancy to save woman's life: HC
PTI | Apr 05, 2019
Why this Bengaluru hospital is challenging Centre's price cap on anti-cancer drugs
Partner Content | Apr 05, 2019
Regular intake of sleeping pill may impact BP
IANS | Apr 05, 2019
Are interns in Hyderabad getting MBBS degrees without mandatory house surgeon period?
Partner Content | Apr 05, 2019
Massive rise in mental health awareness in India
IANS | Apr 05, 2019
Mesothelin-targeted CAR T-cell therapy safe, shows early promise in patients with advanced solid tumours
AACR Annual Meeting 2019 Newsroom | Apr 05, 2019
Most read this week