Mission for full immunisation coverage to kick off December 2
IANS | Nov 22, 2019
Government in MP plans to enact right to health law
PTI | Nov 22, 2019
OET holds healthcare communication event in Kochi
PTI | Nov 22, 2019
MP government to adopt Delhi's mohalla clinic model in cities
PTI | Nov 22, 2019
2 doctors held for conducting illegal sex determination tests in Hyderabad
PTI | Nov 22, 2019
Two-month-old boy burnt in Mumbai hospital fire dead
PTI | Nov 22, 2019
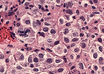
Study highlights how much sunshine does your body needs to cause melanoma
ANI | Nov 22, 2019
Yoga improves sleep, reduces lower back pain
IANS | Nov 21, 2019
Most read this week