Take the challenge- Case 2: A delicate sound of thunder: Part 1
M3 India Newsdesk Dec 03, 2020
Are you ready to take on a new case challenge? Prof. Dr. Sundeep Mishra provides a clinical presentation of a case study with a few vital questions for practitioners.
Study the real-life case and answer the questions in the boxes below. Get your responses evaluated from the expert. Our expert will share comments as the case progresses. Stay tuned!
Click to read other articles from Dr. Sundeep Mishra.
The case
Clinical presentation
A 79-year-old lady with H/O hypertension and COAD who is able to take care of her day-to-day needs herself and is undertaking social distancing due to COVID pandemic but had to attend a wedding in family. During the wedding, she became extremely tired and so decided to rest post-wedding.
Over the next 3 days, she was not well; was feeling very weak with poor intake of food and water. Three days later, she developed severe chest tightness and shortness of breath, lasting for 30 minutes, accompanied by sweating. She was rushed to the hospital. She had no past medical history of heart disease, but history of hospitalisation due to COAD exacerbation 2 years back. No H/O fever or sore-throat and she could not remember when she passed urine last.
Vital parameters & general examination
- Cold clammy skin
- HR= 100/min, regular
- BP= 90/64 mmHg
- RR= 20/min
- SpO2- 94%
- CVS- S1, S2 – Normal
- Chest- B/L VB with expiratory wheeze
- Abdomen- Soft, no organomegaly
ECG

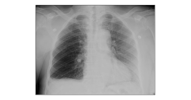
X-Ray chest PA view

Laboratory evaluation
| Test | Results |
| HB | 18.2 |
| TLC | 11370 |
| PLT | 2.56 |
| UREA | 27 |
| CREAT | 0.9 |
| SODIUM | 137 |
| POTASSIUM | 5.12 |
| URIC ACID | 7.4 |
| BIL | 1.9 |
ABG
| Parameter | Value |
| PH | 7.5 |
| PO2 | 76 |
| PCO2 | 34 |
| HCO3 | 38 |
This is a special, real-life case challenge series. Send in your responses latest by December 5 (Saturday).
Stay tuned for the next part which will cover the third stage of the case and the expert's discussion of the answers to the questions posted above.
Disclaimer- The views and opinions expressed in this article are those of the author's and do not necessarily reflect the official policy or position of M3 India.
The author, Dr. Sundeep Mishra is a Professor of Cardiology.
-
Exclusive Write-ups & Webinars by KOLs
-
Daily Quiz by specialty
-
Paid Market Research Surveys
-
Case discussions, News & Journals' summaries