Acute Pancreatitis: Case Studies and its Management
M3 India Newsdesk Jan 20, 2023
Acute pancreatitis is a disorder in which the pancreas swells up due to inflammation over a brief period. This article discusses 2 case scenarios of acute pancreatitis and its management.
Case study 1
Acute Pancreatitis with elevated enzymes:
Case
A 30-year-old male without any history of addiction presented with severe epigastric abdominal pain that lasted for approximately 6 h. The pain was sudden in onset, radiating to the back, and associated with nausea and vomiting. He had a history of appendicectomy 4 years ago.
Diagnosis
On physical examination, his vital signs were within normal limits with epigastric tenderness. His laboratory tests on admission revealed a WBC of 10.0 × 103/μL, a haemoglobin level of 15.4 g/dL, and platelets 222 × 103/μL.
His comprehensive metabolic panel was remarkable for AST 18 IU/L (normal ref: 8–42) and ALT 24 IU/L (normal ref: 7–40). He had a negative viral hepatitis panel. His serum amylase and lipase levels were 303 IU/L and 424 IU/L, respectively.
Observation and conclusion
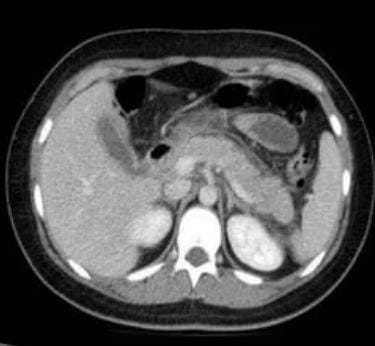
A CT scan of the abdomen showed a bulky pancreas with moderate peripancreatic fluid suggestive of Acute Pancreatitis. The patient was treated with intravenous fluid, analgesics, and antiemetics. His serum amylase and lipase levels became normal after 3 days. Two days later, he was discharged home with a complete resolution of his symptoms.

Fig 1- CT abdomen showing Acute Pancreatitis with Peripancreatic fluid with no evidence of necrosis
Case study 2
Acute Pancreatitis with normal enzymes
Case
A 45-year-old male presented with left upper quadrant abdominal pain of 2 days duration. The pain was constant, sharp, radiated to the back, aggravated on movement, and relieved by rest. The patient also had 3 to 4 episodes of vomiting.
Diagnosis
The past medical history was significant for obesity, BMI > 33 KG/M, fatty liver, chronic back pain, hypertension, dyslipidemia, a history of smoking, and alcohol abuse. He was on Enalapril, metoprolol, fenofibric acid, hydrochlorthizide at the time of presentation. Examination revealed a tenderness was elicited on palpation of the right upper quadrant, the bowel sounds were diminished.
Observation and conclusion
- Laboratory examination revealed acute kidney injury with a blood urea nitrogen 34 mg/dl, creatinine 1.58 mg/dl, calcium 8.4 meq/dl, albumin 3.4g/dl, amylase 60 U/L, lipase 28 U/L and the white cell count was elevated at 16100.
- A computed tomographic scan of the abdomen revealed inflammatory stranding around the tail of the pancreas.
- The patient was admitted to the hospital with a diagnosis of acute pancreatitis.
- An upper gastrointestinal endoscopy was normal.
- The patient was managed conservatively and he quickly improved and was discharged after 5 days.
- The serum enzyme levels continued to be normal throughout the hospital course.
Discussion
The diagnosis of acute pancreatitis is based on 2 of the following 3 criteria:
- Abdominal pain consistent with pancreatitis.
- Serum lipase and/or amylase ≥3 times the upper limit of normal.
- Characteristic findings from abdominal imaging.
Serum amylase and lipase can be normal in children with acute pancreatitis. Normal lipase in acute pancreatitis has also been reported in children with acute pancreatitis
The sensitivity and specificity of lipase in diagnosing acute pancreatitis are undisputed. However, a normal lipase level should not exclude a pancreatitis diagnosis. In patients with atypical pancreatitis presentation, imaging is needed.
Management of acute pancreatitis
- IV fluids ( Most important)
- Analgesics
- Anti emetics
- When to Introduce Antibiotics
Fluid resuscitation in acute pancreatitis
- Aggressive hydration: 250-500 ml per hour of isotonic crystalloid solution.
- Early aggressive intravenous hydration is most beneficial in the first 12–2 hrs and may have little benefit beyond.
- In severe volume depletion (hypotension and tachycardia) bolus may be needed.
- RL may be the preferred isotonic crystalloid replacement fluid.
- Fluid requirements should be reassessed at frequent intervals within 6 h of admission and for the next 24–48 hrs.
- The goal of aggressive hydration should be to decrease the BUN.
Antibiotics in acute pancreatitis
- Given for an extrapancreatic infection, such as cholangitis, catheter-acquired infections, bacteremia, urinary tract infections, and pneumonia.
- Routine use of prophylactic antibiotics in patients with severe acute pancreatitis is not recommended.
- The use of antibiotics in patients with sterile necrosis to prevent the development of infected necrosis is not recommended.
- Infected necrosis should be considered in patients with pancreatic or extrapancreatic necrosis who deteriorate or fail to improve after 7–10 days of hospitalisation. In these patients, either (i) initial CT-guided fine needle aspiration (FNA) for Gram stain and culture to guide the use of appropriate antibiotics or (ii) empiric use of antibiotics without CT FNA.
- In patients with infected necrosis, antibiotics are known to penetrate pancreatic necrosis, such as carbapenems, quinolones, and metronidazole is recommended.
Disclaimer- The views and opinions expressed in this article are those of the author and do not necessarily reflect the official policy or position of M3 India.
About the author of this article: Dr Jimmy Patel is a practising gastroenterologist in Chennai.
-
Exclusive Write-ups & Webinars by KOLs
-
Daily Quiz by specialty
-
Paid Market Research Surveys
-
Case discussions, News & Journals' summaries