'Osteotomy' boon for young patients with arthritis: Orthopedic surgeons
UNI Jun 04, 2019
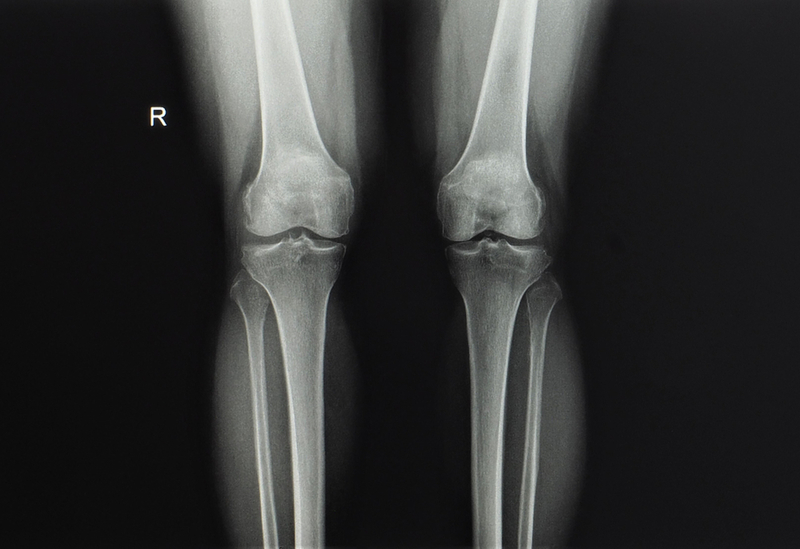
Addressing the conference organised by Udai Omani Hospital to create awareness on Osteotomy,on June 2, surgeons said that most of the young and middle aged women and men with bowlegs or knock knees opt for knee replacement at an early stage of their lives which would not have longevity beyond 10 or 15 years.

Orthopedic surgeons approved Osteotomy as the best suited alternative to knee replacement to regain an active lifestyle. However, under Osteotomy, the joint is preserved and patients can even get back to active sports and or heavy work, the surgeons claimed. Known as 'cutting of a bone', Osteotomy is a surgical technique used to correct deformities by realigning the bones of the leg to ensure the pressure on the damaged joint is relieved, the surgeons said.
The bone (either the femur or the tibia) is cut, the alignment is corrected, the gap is filled with a bone and supported by metal plate, and this process is often seen as once in a lifetime solution for their problems, the Orthopaedic Surgeons said. This procedure can also be done in teenagers and young people who have deformities around their knees, they said this ensures that these youngsters do not develop arthritis at a young age.
Commenting on the importance of Osteotomy, Udai Omni Hospital Director and Consultant Orthopaedic Surgeon, Dr Prakash accepted that this procedure was being practiced for long, the techniques have evolved a great deal in the recent years. The evolution of this procedure with accurate imaging of the bone, and advanced CT scans, now enable surgeons to plan an Osteotomy surgery within a fraction of a millimeter.
The advanced surgical instruments and modern-day implants ensure accurate bone fixation, to help yield lasting results, Dr Prakash informed. The advanced treatment protocols now guarantee that the patient who undergoes Osteotomy will be able to bear their own weight on the knee joint within a short span of 24-hours of realignment, Dr Prakash said the patients can walk early, get back to their daily routine in a short duration of time. The conference was attended by over 200 orthopedic surgeons, gained deep insights into the deformity correction practices around the knee and about the modern techniques available in India.
-
Exclusive Write-ups & Webinars by KOLs
-
Daily Quiz by specialty
-
Paid Market Research Surveys
-
Case discussions, News & Journals' summaries