Government claims be damned, tuberculosis rages in UP
IANS Aug 28, 2019
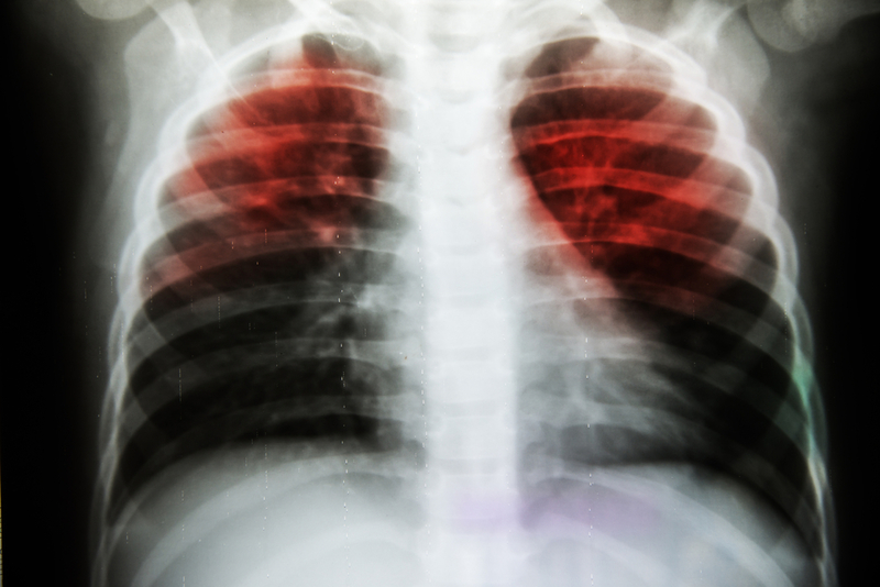
Tuberculosis continues to affect a sizeable population in Uttar Pradesh, particularly in rural areas, despite tall claims by the Centre and the state government about improvements in public health and free healthcare.

In 2018, over 4.2 lakh TB patients were notified in Uttar Pradesh, the highest in the country. Between 1 January and 15 March this year alone, over 68,000 people have been notified in the state. However, state Governor Anandiben Patel and the Raj Bhawan staff's decision on Monday to adopt 22 children suffering from tuberculosis from areas around her residence, has suddenly turned the spotlight on to the enormity of the disease right here in the state capital.
In Lucknow, around 14,600 TB patients were identified in a screening drive in June this year. The drive that covered about 10 per cent of the state population, brought out about 7,000 undiagnosed TB cases. All these 7,000 patients were unaware that they were suffering from tuberculosis, a communicable disease that might have spread to others.
State Tuberculosis Officer Dr Santosh Gupta said: "We are running awareness campaigns to reach maximum patients, who are yet to reach a health facility." However, government doctors say that a large number of TB cases go undetected because the rural population, contrary to claims, still does not have access to proper and easy healthcare. The new anti-TB drug, with delamanid as active substance, is yet to be introduced in UP.
"The primary health centres are not equipped to deal with TB cases. The staff usually sends away the patients showing symptoms of the disease because it is contagious. The patients in rural areas do not go for pathological tests and hide the disease due to the stigma attached to it," explained a government doctor.
In India, the Revised National TB Control Programme (RNTCP) provides free TB treatment at all government medical facilities through the DOTS system, recommended by the World Health Organisation. Under this system, a patient is given an identification card that tracks their site of infection, severity and treatment course, 'notifying', or adding them to a national database.
"This year onwards, the government has made it compulsory for all TB patients and those suspected of suffering from the disease to undergo both HIV and drug sensitivity tests, details of which are to be submitted to the Health Department. It is also mandatory to put a majority of patients on a shorter drug regimen," said state Health Minister Jai Pratap Singh. Private doctors in the districts are yet to comply with the new guidelines to monitor tuberculosis patients as they have failed to provide details of HIV test and drug sensitivity tests.
-
Exclusive Write-ups & Webinars by KOLs
-
Daily Quiz by specialty
-
Paid Market Research Surveys
-
Case discussions, News & Journals' summaries