Apollo Cancer Institute performs total resection of brain tumour using FGS
UNI Aug 11, 2017
The neurosurgical team of Apollo Cancer Institute here performed the total resection of brain tumor using a new technique Fluorescence Guided Surgery (FGS) on a four-year-old girl child from Assam, recently.

This technique marks a significant progress in the field of Neuro-Oncological surgery as it enables removing of the tumor with high accuracy.
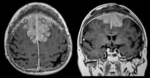
The child is healthy and living pain free after the removal of a life threatening brain tumor 5X5 cms large (size of a tennis ball) that left her with frequent seizures. The girl reported with multiple episodes of drop attack, around 4 to 5 times a day and was diagnosed with a malignant brain tumor Extraventricular Ependymoma, a rare brain tumor that caused walking disorder, balance coordination and repeated seizures.
The Neurosurgery team, who performed the life saving surgery to completely remove the tumor that was buried in the area of her brain causing frequent seizures. In the FGS technique, a special dye is ingested an hour before the surgery, that spreads over the whole body, but the highly active cells (like tumor cells) takes up the dye more as compared to normal cells. When seen under yellow 560 filter (a special filter integrated in the microscope) makes the tumor cells look distinctly different (fluorescence) as compared to normal cells.
This guides the surgeon to clearly distinguish the tumor from the healthy areas minimizing damage to the brain and avoiding post-operative complications.
Dr. Balamurugan, Neurosurgeon, Apollo Cancer Institute, said, “This breakthrough procedure using FGS sets the stage for us to perform the procedure with precision on young patients with centrally-located large tumors. The greatest advantage of this technique is that it clearly identifies the tumor and distinguishes it from the healthy zone helping us to remove the tumor completely”.
The histopathology of this child reported as “Extraventricular Ependymoma”, which is an extremely rare tumor and only 7 cases have been reported in the literature. The life expectancy in this type of tumor is directly related to the amount of tumor resected and postoperative radiotherapy.
In this case radiation therapy was a challenge due the age of patient. But we succeed to give 30 days radiation to the child with sedation. Following this child continues to be healthy and living free of pain and seizures, Dr Balamurugan said.
-
Exclusive Write-ups & Webinars by KOLs
-
Daily Quiz by specialty
-
Paid Market Research Surveys
-
Case discussions, News & Journals' summaries