AI system learns to diagnose, classify intracranial haemorrhage
IANS Dec 25, 2018
Researchers have developed a system using Artificial Intelligence (AI) to quickly diagnose and classify brain haemorrhages and to provide the basis of its decisions from relatively small image datasets.

According to the researchers, such a system could become an indispensable tool for hospital emergency departments evaluating patients with symptoms of a potentially life-threatening stroke, allowing rapid application of the correct treatment.
"Some critics suggest that Machine Learning (ML) algorithms cannot be used in clinical practice because the algorithms do not provide justification for their decisions," said co-lead author Sehyo Yune from the Massachusetts General Hospital (MGH) in the US.
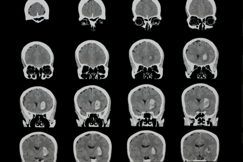
To train the system, the research team began with 904 head CT scans, each consisting of around 40 individual images that were labelled by a team of five neuroradiologists as to whether they depicted one of the five haemorrhage subtypes, based on the location within the brain, or no haemorrhage.
To improve the accuracy of this deep-learning system, the team built in steps mimicking the way radiologists analyse images, suggested the study published in the journal Nature Biomedical Engineering. Once the model system was created, the team tested it on two separate sets of CT scans -- a retrospective set taken before the system was developed, consisting of 100 scans with and 100 without intracranial haemorrhage, and a prospective set of 79 scans with and 117 without haemorrhage, taken after the model was created.
In its analysis of the retrospective set, the model system was as accurate in detecting and classifying intracranial haemorrhages as the radiologists that had reviewed the scans had been, the team said. In its analysis of the prospective set, it proved to be even better than non-expert human readers, they added.
-
Exclusive Write-ups & Webinars by KOLs
-
Daily Quiz by specialty
-
Paid Market Research Surveys
-
Case discussions, News & Journals' summaries