Take the challenge- Solve this case step-by-step with a Cardiology expert- Part 1
M3 India Newsdesk Oct 14, 2020
Are you ready for the challenge? Study the real-life case and answer the questions. Get your responses evaluated from the expert.
Type your answers in the boxes below the questions.Professor Sundeep Mishra will share comments as the case progresses. Stay tuned!
For our comprehensive coverage and latest updates on COVID-19 click here.
Are you up for a new challenge?
Study this real-life case and share your responses to the questions below. The responses will be assessed by our expert and a commentry will be shared on completion of the case. Given below is the first part of this 3-part case description. The next part will be published on 21.10.20
Part 1
Case scenario- Fifteen year-old girl
| Presenting complaints |
|
| Vitals |
|
| General Physical Examination |
|
ECG

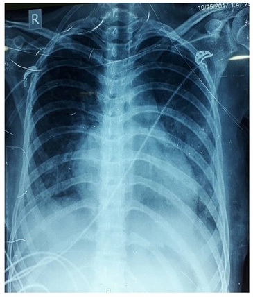
X-ray
Investigations
| Routine lab investigations | |
| Hb | 9 |
| TLC | 10300 |
| PLT | 2.1L |
| DLC | 71/20 |
| INR/aPTT | 1.3 |
| Na | 130 |
| K | 3 |
| Urea | 31 |
| Creatinine | 0.6 |
| BIL | 0.6 |
| SGOT/SGPT | 151/261 |
| Protein/albumin | 6,5/3/3 |
| Ca/P | 8.6/3.3 |
| Special investigations | |
| Troponin | 0.15 |
| BNP | 8270 |
| T3 | 74 |
| T4 | 8 |
| TSH | 7.73 |
| HIV/HbsAg/Anti HCV | Non-reactive |
This is a special, real-life case series in Cardiology.
To see the next part of the case, click here.
Disclaimer- The views and opinions expressed in this article are those of the author's and do not necessarily reflect the official policy or position of M3 India.
The author, Dr. Sundeep Mishra is a Professor of Cardiology.
-
Exclusive Write-ups & Webinars by KOLs
-
Daily Quiz by specialty
-
Paid Market Research Surveys
-
Case discussions, News & Journals' summaries
